ー 金属アレルギーの心配がいらないノンメタル -
メタルフリー・ノンメタル治療とは?

ノンメタルとは、金属を使わずにする治療のことです。
最近では外から見える部分の治療にはできるだけ歯の色に近いセラミックスやジルコニア、ハイブリッドを使うようになってきました。
前歯だけでなく、見えにくい奥歯も治療が可能です。歯とほぼ同じ硬さで、自然な咬み合せも自然です。
当牛嶋歯科医院では、健康的で魅力的な口元を取り戻すために、トータル・エステティック・トリートメントを行います。もちろん日常の正しいブラッシングなどのメンテナンスもご指導いたします。
メタルフリー・ノンメタルの種類(素材)
| 前歯クラウン |
臼歯クラウン |
 |
虫歯になった部分を削り、クラウン(冠)をかぶせます。
ひとりひとりの歯の色や形に合わせて、自然な白さを表現することができます。 |
 |
虫歯になった部分を削り、クラウン(冠)をかぶせます。
咬む力がかかる場所であり、歯に近い硬さが自然な咬み心地を実現します。 |
| ラミネートベニア |
インレー |
 |
前歯の表面をごく薄く削り取り、表面だけ歯の形にしたものをはりつけます。削る量が少なく、変色歯などに最適です。 |
 |
歯の一部だけが虫歯のときに、虫歯にあんった部分を削り、そのあとにインレーと呼ばれる詰め物をはめこみます。 |
- 天然の歯の特徴は透明感のある白さ。
ノンメタルの各素材は光が天然の歯と同じように透過しますので、光が当たっても自然な白さで、見た目の違和感がありません。
- 金属を使わないので、電磁波や金属イオンによる歯肉変色や金属アレルギーの心配がありません。
- 金属のクラウン(冠)を入れたときのような違和感がありません。
入れてすぐ、自分の歯のような自然な感触を感じることができます。
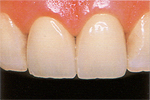
メタルフリー・ノンメタルの治療例
前歯部
 |
虫歯になった部分を削り、クラウン(冠)をかぶせます。
ひとりひとりの歯の色や形に合わせて、自然な白さを表現することができます。 |
 |
 |
虫歯になった部分を削り、クラウン(冠)をかぶせます。
咬む力がかかる場所であり、歯に近い硬さが自然な咬み心地を実現します。 |
臼歯部
 |
虫歯になった部分を削り、クラウン(冠)をかぶせます。
ひとりひとりの歯の色や形に合わせて、自然な白さを表現することができます。 |
 |
 |
虫歯になった部分を削り、クラウン(冠)をかぶせます。
咬む力がかかる場所であり、歯に近い硬さが自然な咬み心地を実現します。 |
臼歯部
 |
虫歯になった部分を削り、クラウン(冠)をかぶせます。
ひとりひとりの歯の色や形に合わせて、自然な白さを表現することができます。 |
 |
 |
虫歯になった部分を削り、クラウン(冠)をかぶせます。
咬む力がかかる場所であり、歯に近い硬さが自然な咬み心地を実現します。 |
メタルフリー・ノンメタルの治療ステップ
| 治療前 |
以前の虫歯治療で、金属インレーが入れてあります。 |
 |
 |
| 金属の除去 |
金属を外して、きれいに清掃します。 |
 |
 |
| 治療完了 |
修復物を入れて治療完了。
色、形ともぴったり合っています。 |
 |
メタルフリー治療・ノンメタル治療は尼崎市の歯科医院(歯医者)牛嶋歯科医院へ/メタルフリー治療対応の尼崎市の歯科医院
ー 髪はあなたの健康履歴書 毛髪ミネラル検査 -
当院では、髪の毛を送るだけで有害ミネラルの蓄積状態や必須ミネラルの過不足を判定できる
毛髪ミネラル検査を実施することも可能です。下記に詳細をご紹介致します。
ミネラルとは?

人間の身体はおよそ96%が炭素・水素。酸素・窒素の有機物で構成されています。それ以外のわずか4%の存在ながら生命維持に不可欠な無機物がミネラルです。
ミネラルは蛋白質・脂質・炭水化物・ビタミンと併せて五大栄養素と呼ばれ、これらは互いに補い合いながら生命維持に必要な役割を果たしています。従って、ひとつでも深刻な欠乏や過剰が起きると生理機能のバランスを失い、健康障害に繋がってしまうのです。
ミネラルは体内で合成することが出来ず、食事などにより常に補給する必要があります。
近年、食生活や生活環境、ライフスタイル等の変化によって非常に多くの人がこうした栄養素のバランスを崩し、生活習慣病などを引き起こす要因となっています。
ミネラルの主な働き
- 歯や骨、血液成分などの人体組織の構成材料となる
- 生理活動に不可欠な酵素を活性化する
- 神経伝達を補助したり安定化させる
- 各種ホルモンの製造や作用を助ける
- 免疫組織を刺激し、免疫機能を高める
主な有害ミネラル
| アルミニウム |
・ 精神障害に関与する可能性として研究が進められています。
・ 一部アルミ製調理器具などからの溶出の他、野菜・穀物類などにも含まれています。 |
|
| カドミウム |
・ イタイイタイ病の原因としてよく知られています。
・ もっとも大きな摂取源とされるのは日本人には欠かすことのできない米などの穀物類です。
|
|
| 砒素 |
・ 和歌山カレー事件などで知られるとおり強い毒性を持ち、古来から毒薬の代名詞とされます。
・ 火山性土壌の日本は地下水などに多くの砒素が
含まれ、それを使って作られた農作物などを通じて広く摂取されています。 |
|
| 水銀 |
・ 俣病の原因として知られ、近年では海水の水銀汚染により海外でも水俣病が見られます。
・ 歯の詰め物(アマルガム)からの溶出も問題となっています。
|
|
| 鉛 |
・ 脳神経系に悪影響を及ぼすとして問題視され、他動症などの一因であると考えられています。
・ 水道の鉛管からの溶出や、喫煙による摂取も考えられます。
|
|
その他 Ni:ニッケル Sn:スズ Cr:クロム Be:ベリリウム Pd:パラジウム など |
毛髪ミネラル検査

矯正中は虫歯や歯周病にならないために、甘いものはなるべく控えます。毛髪検査は米国などを中心に30年以上の実績を持つ検査法です。
日本でも水俣病など有害金属が原因となる疾病に関する参考データとして長年使用され、近年、様々な有害金属に起因する健康被害の問題がクローズアップされ、その対処に関わる重要な検査法として注目されています。
【なぜ毛髪か?】
中国では「髪は血余(けつよ:血の余り)と言われるように、毛髪には血液中のミネラル成分が常に排出されています。
ミネラル成分の体外排出先としては他に尿・便・汗・爪などがありますが、それぞれに特性があり、尿・便・汗は非常に短い周期で排泄されるため体内の短期的なミネラル状態の変動を見るのに適していますが、食事や体調などの影響がする反映されてしまい基礎的な状態把握には不向きです。
毛髪や爪は1ヶ月に1センチ程度と時間をかけて伸びるため、ゆっくりと排出されたミネラル成分が反映され、きられた長さに応じた期間(3センチなら3ヶ月間)の平均的なミネラル状態を把握するのに適しています。
メタルフリー治療・ノンメタル治療は尼崎市の歯科医院(歯医者)牛嶋歯科医院へ/メタルフリー治療対応の尼崎市の歯科医院
ー デトックス(体内浄化)療法 -
重金属や有害ミネラルに汚染されていると不定愁訴や神経障害、肝障害、骨粗しょう症、骨軟化症などと金木していることがわかりました。
これらに汚染される原因は、
- 歯の詰め物やかぶせ物など:水銀、パラジウム、すず、ニッケル、クロムなど
- 食事:大型の魚、穀物類、飲料水など
- その他:利尿剤、便秘薬、電池、床ワックス、タバコ、排気ガス、殺虫剤、井戸水など
デトックス療法
| 1 |
排出促進成分摂取:αリポ酸などのサプリメント |
| 2 |
入浴法(発汗) |
| 3 |
運動(発汗) |
| 4 |
排便・排尿(快便・快尿) |
| 5 |
食事療法 |
| 6 |
マッサージ |
| 7 |
遠赤外線照射 |
| 8 |
腸内洗浄 |
| 9 |
断食 |
体外排出の主要なルートは「汗」と「尿」と「便」
の3つです。
まず気をつけるのは汚染源に気をつけること。
つまり、食事に気をつける、汚染されるところに
行かない、歯の金属をはずすなど。
そして次に排出に気をつける。

参考文献
・「その食事では悪くなる」:大沢 博著(三五館)
・「教諭 有害ミネラルにあなたは殺される」:福田一典著(メタモル出版)
・「体の老廃物・毒素を出すと病気は必ず治る」:石原結實著(三笠書房)
・「デトックスライフのすすめ」:大森隆史著(ごま書房)